当前位置:首页>健康>正文

有哪些口腔疾病容易引起牙疼

2023-05-07 22:30:33 互联网 未知 健康

有哪些口腔疾病容易引起牙疼?

有哪些口腔疾病容易引起牙疼

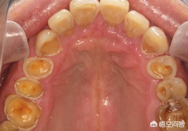
广义上的牙疼真的很多,如果是狭隘的牙疼(牙髓敏感或炎症)也不少!比如重度磨耗或磨损导致的牙本质过敏,反应是冷热酸痛,一旦磨耗深入髓腔,就会形成牙髓炎,冷热激痛、延缓痛、夜间痛、疼痛不定位。解决方案,有牙髓炎的患者首选根管治疗,没有牙髓炎症状的脱敏后咬合重建、修复。

有哪些口腔疾病容易引起牙疼

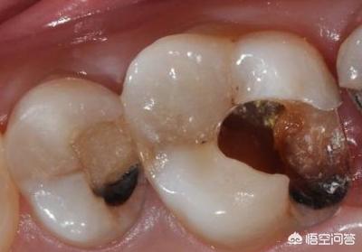
龋病导致的牙本质过敏、牙髓炎症状。症状与前相似,解决方案:无牙髓炎症状的主要以充填或间接修复为主。有哪些口腔疾病容易引起牙疼

牙外伤导致的根折,牙折,挫伤

有哪些口腔疾病容易引起牙疼有哪些口腔疾病容易引起牙疼

引起牙疼的原因有很多,比如牙髓炎、牙周炎、蛀牙、牙齿磨耗、牙敏感、牙齿楔状缺损、牙齿隐裂、牙周病等。

随便看看